
Your smile is important to us as it is a reflection of your gum health and confidence. Birchington Dental Care abides by the General Dental Council legal requirements for tooth whitening. You will require a bleaching consultation appointment.
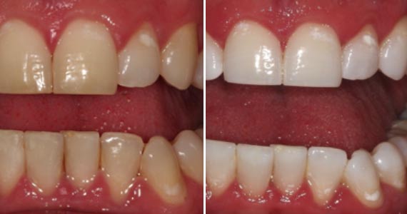
EXTRINSIC stain particles accumulate within the protein film of the tooth and can be removed by good dental hygiene habits. They can be caused by foods, hot or cold drinks, alcohol, smoking, chewing tobacco and poor hygiene habits.
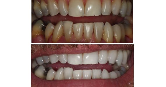
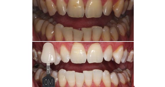
INTRINSIC stain accumulates at a deeper level within the tooth enamel. They can be caused by diet, trauma, death of tooth nerve, increase of antibiotics as a child. Tooth bleaching can help to reduce or eliminate these stains.
AGE RELATED stains are a combination of both intrinsic and extrinsic causative factors as well as medical induced. As we get older and due to general wear and tear the tooth enamel thins causing the dentine to shine through and appear darker.
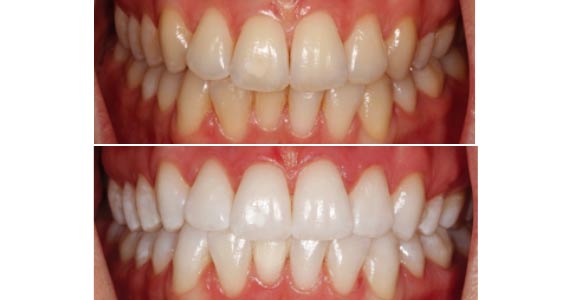
ENLIGHTEN is rated as an extremely effective whitening system available to dental professionals. ENLIGHTEN involves a 3 week at home procedure. Enlighten has no food restrictions, provides a significant shade change and suitable for all adult no matter your age! Impressions taken allow construction of high quality custom made, snug fitting silicone whitening trays. A pre and post whitening shade will be recorded and post whitening maintenance will be discussed. enlightensmiles.com



