Home Oral Screening
Your oral health is very important to us. We have created a simple visual oral screening guide for you to follow.
This can be done by yourself or a trusted family member from within your household.
We DO NOT expect you to self-diagnose. Please contact us with any concerns you may have.
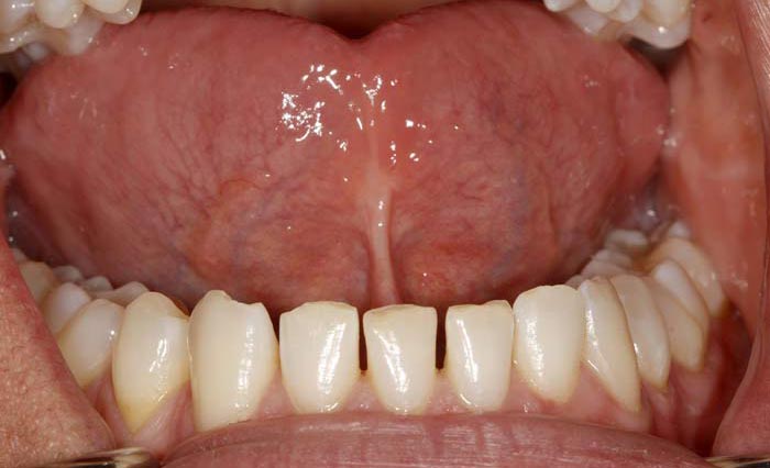
Step 1: Tongue
Use a thin cloth and gently pull your tongue out, to the right, to the left and then up. LOOK for any red / white patches.
FEEL for unusual lumps on the sides, top and bottom of the tongue.




Step 2: Lips & Cheeks
LOOK around the tops of your lips for lesions or non-healing sores present for longer than 3 weeks.
Use your index finger and thumb to roll each lip over to view the smooth soft tissue and examine for red / white patches, lesions or non-healing sores. FEEL for lumps or bumps.
Pull back the right and left cheek and examine in the same manner.




Step 3: Roof of Mouth
LOOK at the roof of your mouth for any unusual red / white patches, sores or non-healing ulcers.
Use your index finger to FEEL the palate for unusual swelling or areas of tenderness.

Step 4: Floor of Mouth
Place the tip of your tongue on the roof of your mouth and examine the area at the bottom of your tongue.
LOOK for red / white patches, lesions and non-healing sores.

Step 5: Head, Neck & Collarbone
Using all your fingers and rubbing in small circles.
LOOK and FEEL for any unusual lumps or areas of tenderness.
Do this along the hairline, front of the ears, behind the ears, under the chin, down the neck and above the collarbone.






Step 6: Back of Mouth
Use the back of a spoon and gently press down on your tongue while saying AHHH.
Look at the back of your mouth for red / white patches, unusual bumps or non-healing sores.

Step 7: Call Your Dentist
If you notice anything out of the ordinary please call your dentist promptly for advice to arrange an examination.
You could take a good quality picture of the area of concern and either email or text it to our emergency contact number.
Please visit: www.mouthcancerfoundation.com 'Bite Back at Mouth Cancer' for an instruction video.
Birchington Dental Care provides a range of services including preventive, restorative, prosthetic, cosmetic and supportive dental care to patients of all ages. We have a team of like-minded practitioners with motivated supporting staff promoting good communication, consistency, confidentiality and cleanliness. We promote patient education and trust and encourage patient participation. The practice aims to be progressive and professional, offering basic and comprehensive evidence supported treatments with a robust specialist referral system. Our 'wellness centred' ethos aims to elevate each patient to a good level of dental health in a relaxed environment, accommodating individual needs. We offer registration as Private as well as a Denplan patients. Denplan patients have the advantage of membership benefits for individuals as well as families.
